Cervical cancer is a common gynecological malignancy, often caused by the human papillomavirus (HPV). However, good models to study human cervical tissues were lacking. Reason enough for the group of Hans Clevers to develop an organoid-based model for the healthy cervix and associated malignancies including cervical cancer. The project was conducted in close collaboration with researchers from the UMC Utrecht, the Princess Máxima Center for pediatric oncology and the Netherlands Cancer Institute.
Mini organs
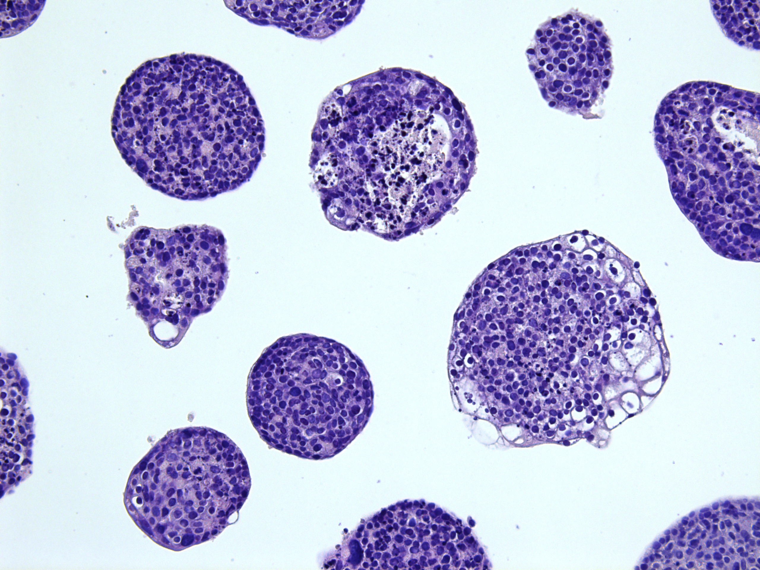
The researchers obtained human cervical tissue from either healthy patients or patients with different types of cervical cancer. From these tissues they grew organoids; tiny 3D structures of about half a millimeter in size that closely mimic organ function. The organoids derived from healthy tissue closely resemble the tissue architecture and gene expression profiles of the actual human cervix. Therefore, the organoids hold great promise for studying what happens when a virus infects the human cervix. Kadi Lõhmussaar, first author on the paper, explains: “For our study, we used a herpes virus – herpes simplex virus-1 (HSV-1) – to demonstrate the potential of the model for research into sexually transmitted infections.”
Prospectively, the model could also be applied to study the human papillomavirus (HPV) and how that virus causes cancer. “Cervical cancer is often caused by HPV-infection, but research into this virus was complicated as the virus is difficult to culture in the lab. Our new model might be able to overcome this obstacle,” says Lõhmussaar.

Tumoroids
The organoids grown from cancerous tissue – also called tumoroids – closely resemble actual tumors. They show mutation- and gene expression profiles that are typical for cancer and they carry similar morphological abnormalities. The researchers also found that the tumoroids respond differently to common chemotherapeutics, paving way to the era of precision medicine. “Hopefully in the future, we can predict which chemotherapy will work best for specific patients based on results obtained in the tumoroids.”
Biobanks
The organoids can be derived via patients’ Pap-brush material. The study shows that the tiny bit of tissue obtained from this procedure is sufficient for starting an organoid culture. This opens up the possibility to not only look at fixed cells under the microscope, but also do in-depth analyses of the living cells that might be on their way to become cancerous. Additionally, given that the Pap-brush is non-invasive for patients, the new organoid model provides the research community with a relatively easy access to the tissue of interest and a new model system. Lõhmussaar: “This will hopefully facilitate a rapid generation of additional organoid-based cervical cancer biobanks worldwide. That would offer new means for advancing research into cervical biology and associated diseases.”
Publication
‘Patient-derived organoids as a pioneering platform to study cervical cancer’. Kadi Lõhmussaar, Rurika Oka, Jose Espejo Valle-Inclan, Milou H. H. Smits, Hila Wardak, Jeroen Korving, Harry Begthel, Natalie Proost, Marieke van de Ven, Onno W. Kranenburg, Trudy G. N. Jonges, Ronald P. Zweemer, Sebastiaan Veersema, Ruben van Boxtel, Hans Clevers. Cell Stem Cell (2021).